HS Analysis GmbH, based in Karlsruhe, Germany, is pioneering a new AI-based diagnostic test for lung cancer treatment, specifically targeting Non-Small Cell Lung Cancer (NSCLC) which represents 85% of cases globally. This project is crucial, as lung cancer is the leading cause of cancer deaths and is often diagnosed late. The test focuses on detecting drug resistance in advanced tumors, a significant issue with current chemotherapy treatments. By analyzing patient tissue samples, this innovative approach promises to transform lung cancer management, enabling personalized treatment strategies.
The company applies advanced microscopy and computer vision to analyze cellular processes, focusing on Proximity Ligation Assay (PLA) signals related to the NRF2-Keap1 cellular defense pathway. This approach enables detailed observation and analysis of cellular interactions at a microscopic level. Their technology identifies and analyzes PLA signals, offering critical insights into cellular responses to cancer therapies. This contributes to developing more effective, personalized treatment strategies.
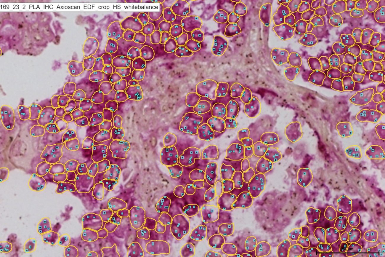
PLA Detection
The aim of the Karlsruhe-based AI is to inform better therapy decisions, a vital step toward personalized cancer treatment. Clinical partners supply tumor tissue samples for the test and validation process. These WSIs are then analyzed using the company’s leading software, HSA KIT.
This project, leveraging partnerships across industry, research, and medicine from various states, focuses on enhancing diagnostics through digital technologies and AI. The collaborative network fostered the project’s development and established essential clinical contacts for testing on patient material. It’s one of many successful research initiatives funded by this network, showcasing the benefits of collaboration in advancing medical technology and AI in healthcare.
Currently, there is no conventional laboratory test capable of detecting inherent drug resistance in Non-Small Cell Lung Cancer (NSCLC). The project aims to introduce a new AI-supported development to address this gap, which will be distributed by a specialized AI company. Since chemotherapy can be harsh and demanding for patients, it’s crucial to predict whether the treatment will be effective or if alternative therapies should be considered. “With this project, we aim to provide a reliable decision-making tool for treating physicians in the future” adds Sergey Biniaminov (CEO of HS Analysis GmbH).
The initiative is funded for two years by a Central Innovation Program of the Federal Ministry for Economic Affairs and Climate Action, receiving significant financial support. Collaboration within a health network was instrumental in developing the initial project idea. This network facilitated contact with a natural science and medical institute and a clinic, crucial steps for the necessary testing of the procedure on relevant patient tissue samples.






















