Your Gateway to Seamless Histological Slide Analysis
Are you working with complex histological slides? Do you need a reliable tool to display high-resolution microscopy images in various file formats like CZI, NDPI, SVS, and more? Look no further. HSA Fileviewer is the perfect solution for researchers, pathologists, and medical professionals who need to view and analyze histological slides with ease and precision.
Why Choose HSA Fileviewer?
HSA Fileviewer is designed specifically for histology professionals who handle large, intricate microscopy images. We support a wide range of formats, allowing you to focus on your research, not on converting files. With our advanced image rendering technology, you’ll experience unmatched clarity, speed, and control, giving you the power to work efficiently.
Supported Formats
Our viewer seamlessly supports all popular histological slide formats, including:
- CZI (Zeiss Microscopy)
- SVS (Aperio)
- NDPI (Hamamatsu)
- TIFF
- Mrxs (3d Histech)
- iSyntax (Philips)
- ND2 (Nicon)
- SCN (Leica)
- LIF (Leica)
- SVI (Zeiss)
- BMP
- JPG
- PNG
- and many more
Whether you’re analyzing tissue morphology or performing pathology diagnostics, HSA Fileviewer ensures that your data is displayed with accuracy, enabling you to dive deep into your microscopic research.
Who is HSA Fileviewer For?
- Pathologists: View and evaluate diagnostic slides quickly and efficiently.
- Researchers: Explore tissue samples, analyze morphology, and share insights with peers.
- Educators: Use HSA Fileviewer to teach students how to view, interpret, and analyze histological samples.
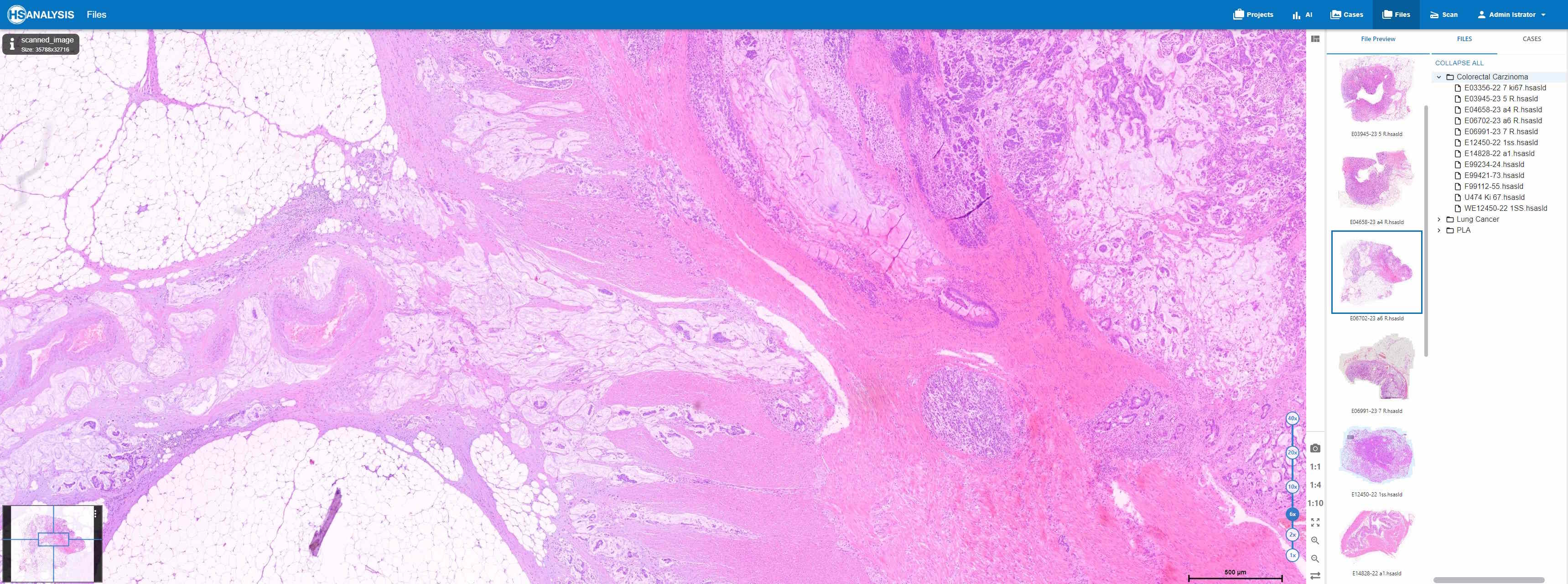
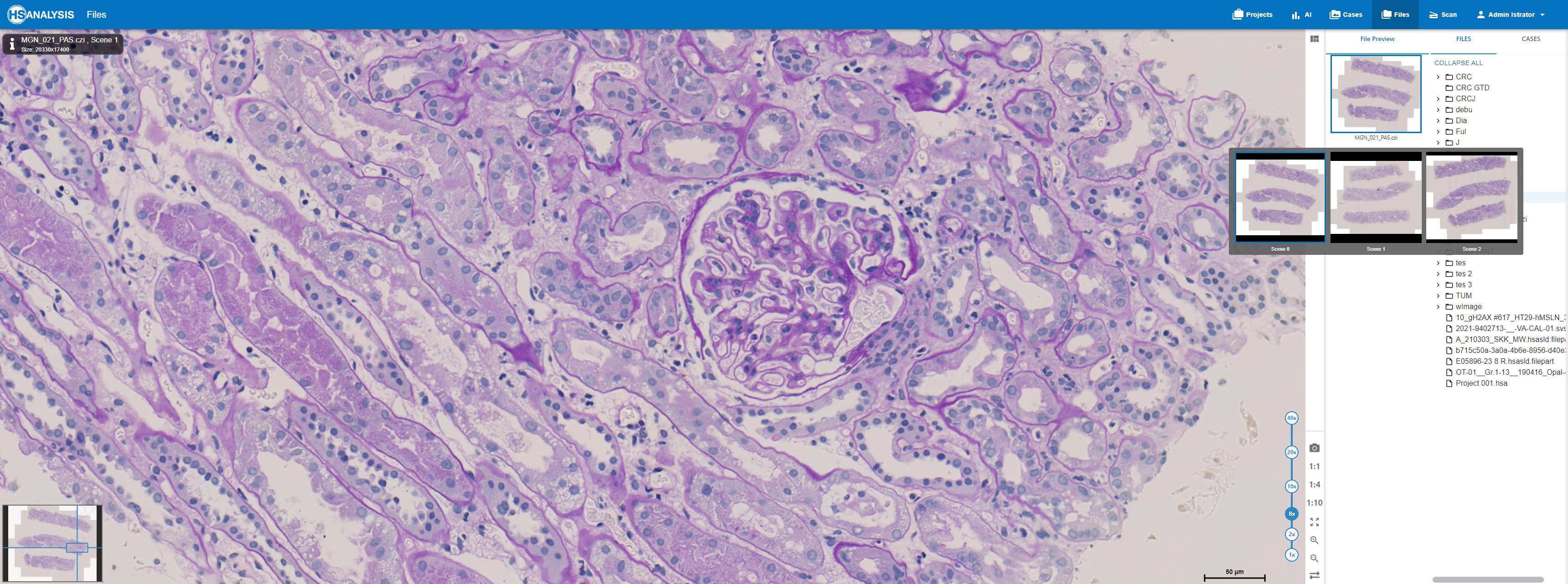
Key Features
1. Multi-Format Compatibility
Effortlessly open and view slides in CZI, NDPI, SVS, TIFF, and more, all from one platform. Our file viewer supports multiple formats so you don’t have to worry about compatibility issues.
2. High-Resolution Image Display
Examine your histological slides in stunning detail with zoom and pan functionalities, allowing for thorough analysis of each region of interest.
3. Fast & Responsive
We understand how crucial it is to have a smooth and fast interface. HSA Fileviewer ensures that your files load quickly and allow you to scroll through gigapixel images without delay.
4. Intuitive User Interface
With a clean, simple, and user-friendly interface, HSA Fileviewer provides you with the tools you need without overwhelming complexity. Simply the familiar foldetree to navigate through your file and directly see a preview of them.
5. Integrated Scalebar
The scalebar provides an accurate reference for the physical size of the image being viewed. It can be moved around freely, allowing users to measure and verify dimensions of specific areas within the slide for precise analysis.
6. Minimap
The minimap offers a bird’s-eye view of the entire slide, providing a quick overview and allowing easy navigation. Users can instantly jump to different regions of the slide by clicking on the minimap, enhancing workflow efficiency.




