Unkategorisiert 21 Feb 2024 MIB-1 Der monoklonale Antikörper (mAK) MIB-1 reagiert mit einem nukleären Protein, welches einzig in proliferierenden Zellen aufzuweisen ist. MIB-1 wird in… HSA
Unkategorisiert Abbildung 1: Vergleich Frambasiert und Eventabsierte Aufnahmen Quelle: wikipedia.com 23 May 2022 System-Integration AI Vision – Gesture Recognition Kassenlose Einkaufsfilialen – ein Schritt in die Zukunft? Amazon schreitet mit seiner „Just Walk Out“ Technologie Richtung autonomen Einzelhandel. Am… HSA
Unkategorisiert Scion Herbst 2018 19 Nov 2018 Rückblick: Scion Herbst 2018 “Vertrauen in KI” Nach all dem Tagesgeschäft, das uns in der Folge unserer Jahreskonferenz Scion schnell wieder ereilte, nehmen wir einen Rückblick auf… HSA
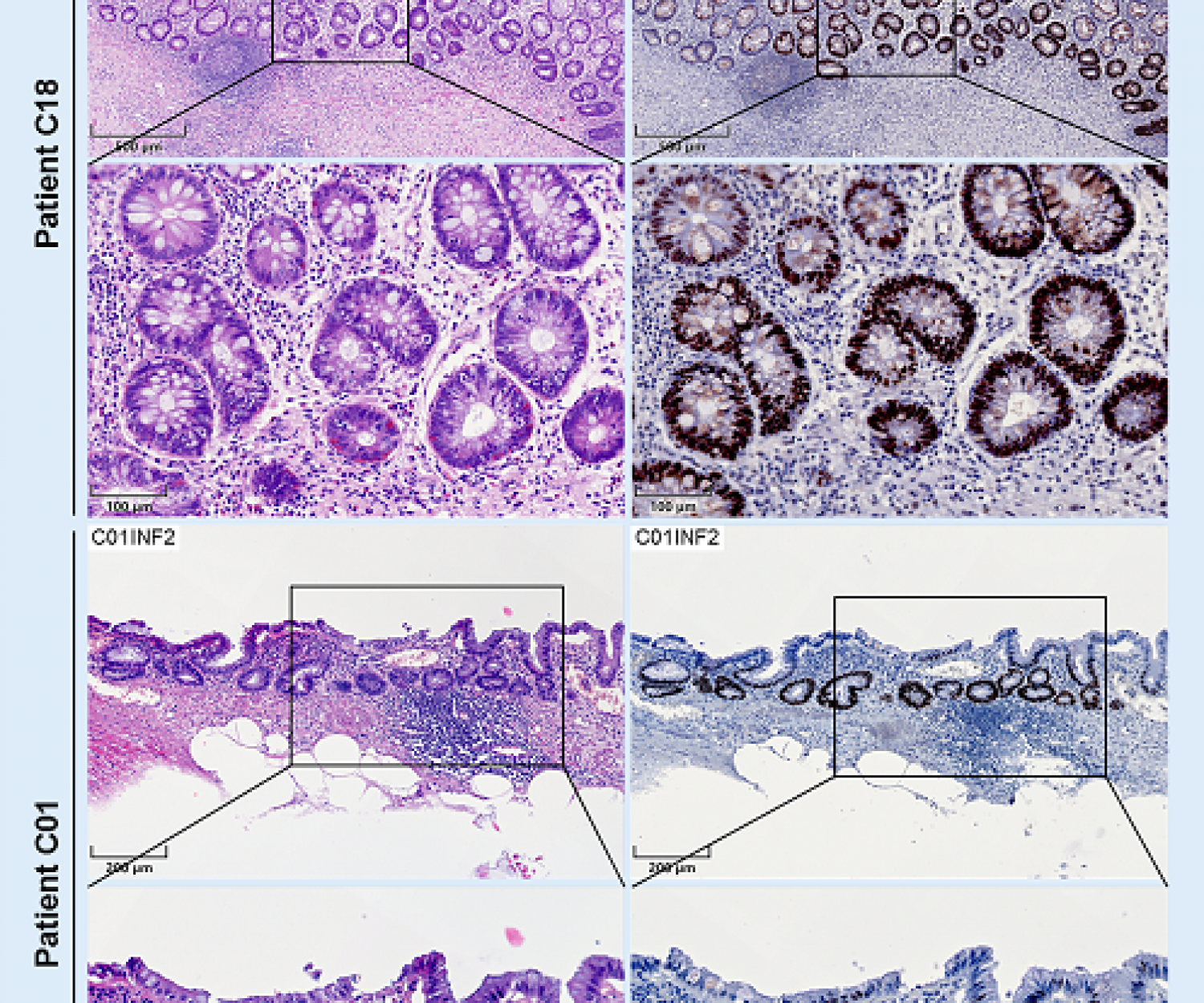
Unkategorisiert 18 Oct 2018 Scion Herbst 2018: Medikamentenforschung von Bayer und Pathologie aus Mannheim Die Bayer AG wurde 1863 in Barmen, das heute zu Wuppertal gehört, von Friedrich Bayer (1825-1880) gegründet. Der Hauptsitz befindet… HSA
Unkategorisiert 18 Oct 2018 Zeiss and HS Analysis cooperate in terms of Microscopy and Digital Image Analysis Englisch Version (for German Version see below) Scion Herbst 2018 Forum & Hackathon (26.-28.10.18) is only a few days ahead.… HSA
Unkategorisiert 10 Oct 2018 Visionen von Ärzten aus Karlsruhe und Hamburg inspirieren die Pathologie Mit Scion Herbst 2018 (26.-28.10.18) bietet die HS Analysis GmbH eine Plattform für den interdisziplinären Austausch rund um die Themen automatische Bildanalyse, Diagnostik und… HSA
Unkategorisiert 25 Sep 2018 Netzwerke und Künstliche Intelligenz als Standortvorteile für die Region Karlsruhe Wir im Südwesten der Republik sind nicht nur von der Sonne verwöhnt, wie der badische Wein, Karlsruhe hat sich in… HSA
Scion 12 Sep 2018 Prof. Thomas Hirth & Prof. Alexander Nesterov-Müller vom KIT bei Scion Herbst 2018 Scion Herbst 2018 (26.-28.10.18), unsere Jahreskonferenz für Life Science, nähert sich mit großen Schritten. Es verbleiben nur noch 43 Tage… HSA
Unkategorisiert 08 Aug 2018 Scion Herbst 2018 | Die Jahreskonferenz Kaum ist die Scion Sommer 2018 (23./24.6.18), bei dem der Hackathon im Mittelpunkt stand, vorbei, schon bereiten wir das nächste… HSA
Unkategorisiert 06 Jul 2018 Ethische Intelligenz als Bindeglied zwischen Mensch und Künstlicher Intelligenz Was ist, wenn der Autor dieses Artikels ein Zeitreisender ist? Aufgrund seiner Erfahrungen, die er in der Zeit von 2018… HSA