Introduction
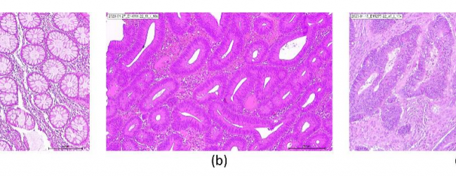
The sophisticated HS Analysis Deep learning software is able to detect a plethora of sicknesses, one case is Colorectal Cancer. CC is a type of aggressive cancer that begins in the colon or the rectum. Specialists at HS Analysis are able to use advanced deep learning AI software to diagnose CC expertly along with its classes to aid clinics, institutions and health care facilities. The colon tissue can be roughly divided into three types:
- Healty tissue
- Adenoma = benign tissue
- Carcenoma = malignant cancer
The HS Analysis’ touch
One key technology of automatic interpretation of tissue samples in the HS Analysis software is the latest artificial intelligence. Deep learning evaluates a statistical predictive model for CC analysis by using algorithms to “learn” how to recognize CC disease and gain access to variables that predict CC survival. Some examples include quantification, diameter measurements, and the separation of healthy and unhealthy tissue.
The HS Analysis software can help medical professionals diagnose disorders by examining high-resolution images of tissues and organs. And as the program generates data describing the patient’s current condition, it will assist doctors in selecting appropriate therapies, some examples of treatments will be discussed later in this blog.
See the true supreme tissue detection quality that our HS Analysis KIT can do on a small portion of a much larger whole slide picture of CC that was able to differentiate types of tissue and detected the exact diameter of each tissue.
Furthermore, in terms of classes, we can see the many different classifications of the un-healthy cells that are detected by the HS Analysis software, just like the other annotations, these classes must first be annotated as well before they are trained with the deep learning model, there are 40+ CML classes that the HS Analysis KIT can learn from and it differentiates by its names and colors of the annotated structure, for example they range from the young\old Megakaryozyt to the very common and thin spiders web like NET.
In terms of lab results, after the model is trained and ran the entire project, the HS Analysis software provides us with the information we need to understand the severity and condition in a sheet format, such as the name of the files, number of objects (structures) such as healthy and un-healthy tissue.
Or we can specify the deep learning analyzation of a single structure like adenoma.
Digitalization of histological slides and analysis with HSA KIT
In this video, you can see manual scanning that converts a slide to a file with HSA SCAN software so that it can be trained and then automatically detected by a trained AI model using HSA KIT software.
If you want to automatically scan the slides, you can upgrade your microscope to an automated microscope station (HSA SCAN A). This converts your microscope into an automatic scanner for low-cost, high-quality performance in a short period of time.
HSA only requires the dimensions of your microscope and any specifications you wish to include, and we will send a stand and motor for your device that fits your microscope.
This will help you in:
- Scanning faster
- More accurate scanning
- Saving time
- Low budget









