Introduction
IgA nephropathy (IgAN), also known as Berger’s disease, is the most common glomerulonephritis globally. It is characterized by the deposition of immunoglobulin A (IgA) in the glomeruli, leading to inflammation and progressive kidney damage. The disease manifests variably, ranging from asymptomatic hematuria to end-stage renal disease (ESRD). Early and accurate diagnosis, as well as the evaluation of prognostically relevant parameters, are crucial for effective management and treatment of IgAN.
Challenges in Diagnostic Nephropathology
The traditional diagnosis and prognosis of IgAN rely heavily on renal biopsy and subsequent histopathological examination. Pathologists evaluate biopsies using a variety of staining techniques and microscopy to identify and quantify pathological features such as mesangial hypercellularity, segmental glomerulosclerosis, and tubular atrophy. This process is labor-intensive, subjective, and prone to inter-observer variability, which can lead to inconsistent prognostic assessments.
Role Of Deep Learning in Nephropathology
Deep learning (DL), a subset of artificial intelligence (AI), has shown remarkable success in image analysis and pattern recognition tasks across various domains, including medical imaging. Convolutional neural networks (CNNs), a type of deep learning architecture, are particularly well-suited for analyzing histopathological images due to their ability to automatically learn
Deep Learning-Based Assistant for IgAN
A deep learning-based assistant in diagnostic nephropathology for IgAN aims to automate and enhance the evaluation process of renal biopsies. Such a system can assist pathologists by:
- Automating Feature Extraction: Automatically identifying and quantifying relevant histopathological features from digitized biopsy images, such as glomerular lesions, interstitial fibrosis, and vascular changes.
- Reducing Variability: Minimizing inter-observer variability by providing consistent and reproducible evaluations.
- Enhancing Prognostic Accuracy: Leveraging large datasets to learn and predict complex patterns that correlate with disease progression and patient outcomes.
- Time Efficiency: Significantly reducing the time required for biopsy analysis, allowing for quicker diagnosis and treatment planning.
Structures
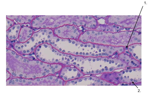
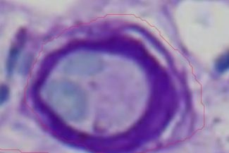
1-Tubulus
The kidneys are essential organs that filter blood, remove waste, and balance fluids. Inside each kidney, there are tiny structures called nephrons, each containing a long, coiled tube known as a tubule. The tubules play a crucial role in filtration, reabsorption, and secretion. They filter waste and excess substances from the blood, reabsorb essential substances like water, glucose, and salts back into the bloodstream, and secrete additional waste products into the fluid that becomes urine. The tubules are composed of several parts: the Proximal Convoluted Tubule (PCT) where most reabsorption occurs, the Loop of Henle which helps concentrate urine, the Distal Convoluted Tubule (DCT) that fine-tunes reabsorption and secretion, and the Collecting Duct where urine is concentrated further before draining into the renal pelvis and then to the bladder. Analyzing kidney tubules is important for assessing kidney function, detecting diseases such as acute tubular necrosis or chronic kidney disease, and monitoring the effectiveness of treatments for kidney conditions. Thus, understanding the function and health of tubules is key to evaluating overall kidney health.
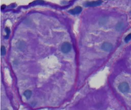
2-Glomerulus
An essential component of every kidney nephron is the glomerulus, which acts as the first site of blood filtration. The glomerulus is a network of microscopic capillaries surrounded by Bowman’s capsule that filters blood by letting bigger molecules like proteins and blood cells stay within while permitting water, salts, glucose, and waste items like urea to flow through its porous membranes. The filtrate created by this filtering process eventually turns into urine when it passes past the nephron. One important measure of kidney health is the glomerular filtration rate (GFR), which expresses how efficiently the glomerulus filters blood. Through processes such as the renin-angiotensin-aldosterone system, the glomerulus also contributes to the regulation Proteinuria and hematuria are indications of diseases that affect the glomerulus, such as glomerulonephritis or diabetic nephropathy. These diseases can compromise filtration. As a result, glomerular health analysis plays a crucial role in the diagnosis and treatment of kidney illnesses. Tests like urinalysis, GFR calculation, and kidney biopsies offer important information on this regard.
3-Peri Tubular Capillaries (PTC)
The kidneys’ network of tiny blood arteries known as the Peritubular Capillaries (PTC) surrounds the renal tubules and is essential to urine production and blood filtration. These capillaries, which emerge from the efferent arteriole, aid in the chemical exchange between the tubular fluid and the blood. They are necessary to ensure that vital materials like water, glucose, amino acids, and electrolytes are not wasted in urine by reabsorbing them back into the circulation. Furthermore, PTCs help to remove waste and excess ions from the blood into the tubular fluid, preserving chemical equilibrium. PTCs’ thin walls facilitate simple material transport and provide for effective exchange due to their near proximity to the tubules. They also provide the essential nutrition and oxygen to the tubule cells. The body’s ability to regulate fluid balance, electrolyte levels, and acid-base balance depends on this effective exchange mechanism. Damage to these capillaries can impede kidney function and result in illnesses. This damage is frequently caused by disorders like diabetes and hypertension. As a result, PTC function analysis is crucial for the diagnosis and treatment of kidney-related disorders, with blood and urine tests offering information on the state of the kidneys and their function in homeostasis.
4-Arterielle
5-Peri Glomeruli Capillaries (PGC) or Nerven
The sympathetic fibers that make up the majority of the kidney’s nerves are essential for controlling kidney function. By regulating the contraction and relaxation of the afferent and efferent arterioles, these renal nerves impact blood flow inside the kidneys, hence influencing the glomerular filtration rate (GFR) and total blood pressure. Additionally, they control the juxtaglomerular cells’ release of renin, which is an essential part of the renin-angiotensin-aldosterone system (RAAS), which helps control fluid balance and systemic blood pressure. Additionally, by modifying the kidneys’ filtration and reabsorption processes, renal nerves assist the kidneys in responding to systemic circumstances like stress or dehydration. These nerves are essential for preserving fluid and electrolyte balance as well as general homeostasis; any malfunction or injury to them can affect kidney function and exacerbate diseases like hypertension and chronic kidney disease.
Implementation and Benefits
To develop a deep learning-based assistant, high-resolution images of renal biopsies are annotated by expert pathologists to create a labeled dataset. This dataset is used to train CNNs, which learn to recognize and quantify prognostically relevant features. Advanced models can also integrate clinical data and other biomarkers to provide comprehensive prognostic insights.
The deployment of such a system in clinical practice offers several benefits:
- Improved Diagnostic Precision: Enhanced accuracy in detecting and quantifying pathological features.
- Standardization: Standardized assessments across different institutions and pathologists.
- Enhanced Prognostic Predictions: Better prediction models for patient outcomes, aiding in personalized treatment planning.
- Educational Tool: Serves as a training aid for new pathologists by providing a reference standard for evaluation.
Files
- IgA_PAS_008.czi , Scene 1
- IgA_PAS_008.czi , Scene 2
- IgA_PAS_008.czi , Scene 3
- IgA_PAS_009.czi , Scene 1
- IgA_PAS_009.czi , Scene 3
| Files Name | Project | Structure | No.Annotation | Structure | No.Annotation | Structure | No.Annotation | Structure | No.Annotation | Structure | No.Annotation |
|---|---|---|---|---|---|---|---|---|---|---|---|
| PAS_008.czi scene 1 | Kidney Analysis | Tubulus | 917 | Glomerulus | 18 | PTC | 1510 | Arterille | 26 | Nerven | 93 |
| PAS_008.czi scene 2 | Kidney Analysis | Tubulus | 1436 | Glomerulus | 29 | PTC | 759 | Arterille | 17 | Nerven | 43 |
| PAS_008.czi scene 3 | Kidney Analysis | Tubulus | 707 | Glomerulus | 8 | PTC | 850 | Arterille | 12 | Nerven | 46 |
| PAS_009.czi scene 1 | Kidney Analysis | Tubulus | 1096 | Glomerulus | 20 | PTC | 1568 | Arterille | 38 | Nerven | 102 |
| PAS_009.czi scene 3 | Kidney Analysis | Tubulus | 884 | Glomerulus | 9 | PTC | 1724 | Arterille | 125 | Nerven | 41 |
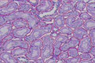
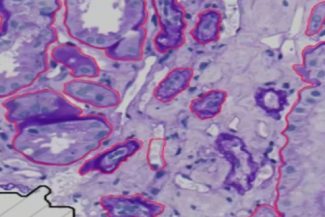
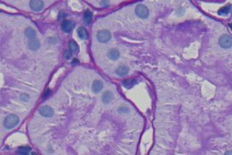
this image shows tubulus and PTC and how they connected
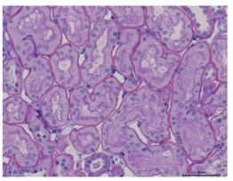
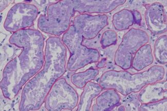
this image it show the all structures that we annotated
Neural Network
A neural network for deep learning consists of layers of neurons: input, hidden, and output layers. Each neuron applies a linear transformation to its inputs, followed by a non-linear activation function. The network is trained using forward propagation to make predictions and backpropagation to update weights and minimize a loss function, such as cross-entropy for classification tasks. Optimization algorithms like Adam adjust these weights to improve accuracy. Regularization techniques, such as dropout, help prevent overfitting. Using frameworks like TensorFlow, you can build, train, and evaluate models effectively for various applications.
Structure:
- Input Layer (Blue Circles on the Left):
- There are 4 input nodes labeled as “Input 1”, “Input 2”, “Input 3”, and “Input 4”.
- These nodes represent the features or variables that are fed into the neural network.
- Hidden Layers (Orange Circles in the Middle):
- The network has 3 hidden layers, each containing 5 nodes labeled as “Hidden 1”, “Hidden 2”, and “Hidden 3”.
- These layers perform intermediate computations and transformations on the data.
- Each node in one layer is connected to every node in the subsequent layer, forming a dense (fully connected) network.
- Output Layer (Green Circles on the Right):
- There are 4 output nodes labeled as “Output 1”, “Output 2”, “Output 3”, and “Output 4”.
- These nodes produce the final output of the neural network, which could be predictions or classifications based on the input data.
Connections:
- Lines:
- The lines between the nodes represent connections (edges) between neurons.
- Each connection has a weight associated with it, which is adjusted during training to minimize the error in the output.
- These weights determine how much influence one node’s output has on the next node’s input
How it Works:
Forward Propagation:
-
- The input data is fed into the input layer and then propagated through the network, layer by layer, until it reaches the output layer.
- Each node in a layer applies a mathematical function or (activation function) to its input to produce an output, which is then passed to the next layer.
- Learning:
- During training, the network adjusts the weights of the connections based on the difference between the predicted output and the actual output.
- This adjustment is typically done through a process called backpropagation, which minimizes the error by iteratively updating the weights.
Key Points:
-
-
- Complexity: The network is capable of learning complex patterns due to the multiple hidden layers and the fully connected architecture.
- Versatility: This type of neural network can be used for a wide range of tasks, such as classification, regression, and more complex tasks like image and speech recognition.
-
what is the Deep Learning ?
Step 1: Recognize the issue
The first step in the deep learning process is to clearly understand the problem you aim to solve. This involves identifying the specific tasks, desired outcomes, and constraints associated with the problem. It is crucial to grasp the business context and requirements to ensure the solution aligns with organizational goals. By thoroughly defining the problem, you create a strong foundation that guides the subsequent steps in the deep learning workflow.
Step 2: Determine Data
Once the problem is well-defined, the next step is to identify and gather the necessary data. This involves collecting relevant datasets from various sources, ensuring that the data is both sufficient in quantity and of high quality. Data is the backbone of any deep learning model, and having a comprehensive dataset is essential for training an accurate and robust model. Proper data collection sets the stage for effective data preparation and model training.
Step 4: Training the Model
A crucial phase in the deep learning process is model training. To do this, divide the data into training and validation sets, then train the model using the training set. In order to minimize the loss function, optimization methods and backpropagation are used to modify the model’s weights during training. To keep an eye on the model’s performance and avoid overfitting, utilize the validation set. A model with optimal weights that performs well on training and validation data is the outcome of successful training.
Step 3: Select Deep Learning Techniquse
After obtaining the data, the emphasis switches to choosing suitable deep learning methods and model designs. Different techniques are needed for different challenges. For instance, whereas recurrent neural networks (RNNs) are better suited for sequential data, convolutional neural networks (CNNs) are frequently employed for picture classification tasks. Effective issue resolution requires assessing multiple deep learning methods and selecting the appropriate model architecture.
Step 5: Evaluate the Model
Testing the model to assess its performance on hypothetical data is the last stage. This entails evaluating the model’s capacity for generalization using an independent test set. A model’s predicted performance in real-world circumstances is measured using appropriate performance measures, such as accuracy, precision, and recall. Testing guarantees that the model is dependable and prepared for use.
what is the Machin learning (ML) ?
We can split ML process stages into 5 as below mentioned in the flow diagram.
Collection of Data (1st step):
This is the initial phase where data relevant to the problem is collected. The data can come from various sources such as databases, sensors, or external datasets. Quality and quantity of data are crucial as they directly impact the model’s performance.
Data Wrangling (2nd step):
Also known as data preprocessing, this step involves cleaning and transforming the raw data into a more usable format. This may include handling missing values, correcting inconsistencies, normalizing data, and transforming it into a structure suitable for modeling.
Model Building (3rd step):
In this phase, a machine learning model is selected and trained on the preprocessed data. This involves choosing the right algorithm (e.g., regression, decision trees, neural networks) and adjusting parameters to optimize performance. The model learns patterns from the data to make predictions or decisions.
Model Evaluation (4th step):
After the model is built, it needs to be evaluated to ensure its accuracy and generalization capability. This is done by testing the model on a separate dataset (not used in training) and using various metrics (e.g., accuracy, precision, recall, F1-score) to measure its performance.
Model Deployment (5th step):
Once the model is validated and performs well, it is deployed into a production environment. Here, the model is used in real-world applications to make predictions or automate decision-making processes. Deployment also includes monitoring the model’s performance over time to ensure it remains accurate and updating it as needed.
First AI Model for Tubulus
IgA_PAS_008.czi scene 1
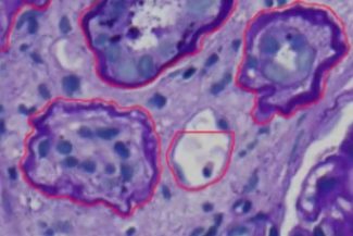
First training I did on the file IgA_PAS_008.czi scene 1, I use AI model for annotations and the ruselts its good and its show on the image the AI its able to annotate big object and separated and exclude the small area between the object 1. and its annotate the whole object as you can see in the second note the object has a different color but the AI its annotated like one object and that is correct .
After that I validate another region and its look so good in this image in below that the AI can annotate a complex object
PAS_008.czi scene 2
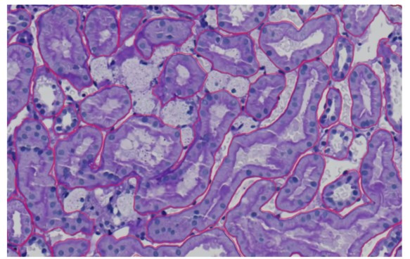
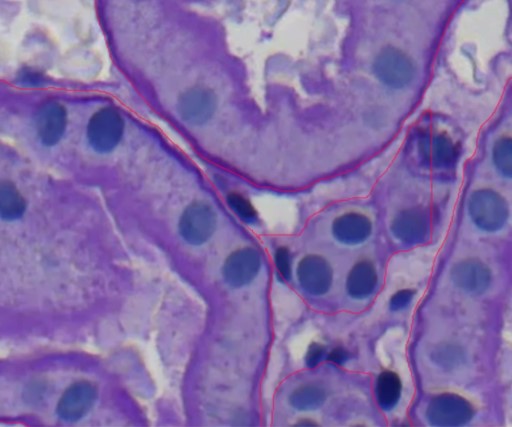
The AI model’s annotations in the provided histological image appear to be of high quality. The red lines accurately trace the boundaries of cellular structures, indicating good alignment with natural edges. The annotations cover most visible structures, suggesting completeness. Consistency is maintained throughout the image, with similar structures being outlined similarly. The clarity is upheld by using thin lines that do not obscure important details, and the annotations follow the contours of the structures specifically, reflecting the model’s capability to recognize fine details. Overall, the annotations are accurate, complete, consistent, clear, and specific.
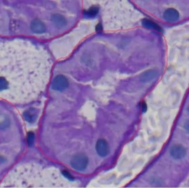
The annotations produced by the AI model show excellent quality in this close-up photograph. The red lines closely adhere to the cellular structure limits, demonstrating a high degree of precision in identifying the cell borders. It is well aligned with the natural curves, and it seems to have delineated every visible structure, indicating thorough detection. Reliability is ensured by the uniform annotation style, which defines each cell in a comparable way. Thin red lines are used without obscuring interior features to retain clarity. The annotations are detailed, paying close attention to the minute features of the cell borders, suggesting that the model can accurately represent complex changes in cell shapes. All in all, the annotations are precise, comprehensive, coherent, unambiguous, and targeted.
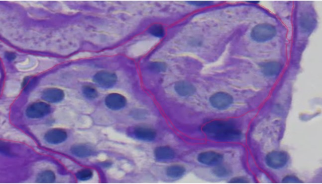
In this you will see a great annotation that AI did and its annotate the whole object and separated with another one and the quality is so good in here, the AI exclude the nuclei from the left object.
In this image, the AI model did not fully annotate the entire object, leaving some parts unmarked. This partial annotation could be due to boundary ambiguity, where the model has difficulty distinguishing clear edges in regions with low contrast. Additionally, the model relies on confidence thresholds, and if its confidence in certain parts is low, it may avoid marking those areas to reduce errors. Limitations in the training data, such as insufficient examples of similar structures, can lead to incomplete recognition. The internal complexity of the object, with varying textures and intensities, might also confuse the model, making it challenging to determine the exact boundaries. Lastly, algorithmic constraints may affect the model’s ability to handle irregular shapes or fragmented appearances. Understanding these factors can help refine the AI model to improve its annotation accuracy and completeness in future iterations.
Thus two images that show in below that the AI didn’t annotated the whole object because I here I changed the settings of validations, I changed Confidence Threshold for Detected Objects from 0.5 to 0.3, that’s means when we decrease the confidence the quality of annotations it not be good like the left image or they not annotate the whole object like right image.
PAS_009.czi scene 3
This image appears to be a histological section stained and viewed under a microscope, likely showing tissue structures with cellular and extracellular components. The red lines outline specific areas, probably marking regions of interest, which could be different tissue compartments or specific cellular formations. The quality of the image is clear, with distinct staining allowing for the differentiation of various cell types and structures. The quantity of marked areas suggests a detailed analysis, possibly for diagnostic or research purposes, highlighting numerous regions within the sample. The overall resolution is sufficient to observe cellular details, making it valuable for precise histopathological evaluation.
This picture shows a second dyed and microscope-observed histological slice, most likely at a different magnification or area. The tissue’s different features are indicated by the red outlines. These structures resemble tubules or glandular forms, presumably from a kidney or similar glandular organ. Due to efficient staining, the picture quality is excellent and allows for simple identification of nuclei and other cellular elements. There is also a clear distinction between cellular and extracellular components. The number of indicated structures suggests a careful method of emphasizing particular regions of interest, implying a thorough examination for research or diagnostic reasons. The tissue architecture can be seen in great detail thanks to the exceptional resolution, which makes it an invaluable tool for histopathological analysis.
The parameters that we used in training of model
Seconed Model
PAS_008.czi scene 1
you will see in thus two image the high quality of annotations by AI, in this model we increase the number of epochs and we change the number of batch size 2 to 1.
quality of but in some where you will see that the separations between two object it’s no complete as you can see in the image in bellow but also they annotated the objet really good they exclude the nuclei and annotated all mainframe and sharing Mein brane between tubuli and peri tubuli capilari (PTC).
PAS_008.czi scene 2
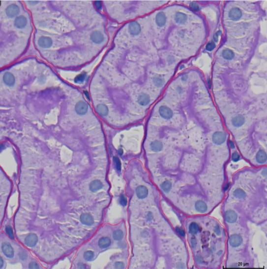
This image appears to be a microscopic view of a tissue sample, likely stained using a method such as Hematoxylin and Eosin (H&E) to highlight cellular structures. The deep purple areas represent cell nuclei, while the lighter purple areas are the cytoplasm and other tissue components. The red lines overlaying the image indicate that an AI tool has been used to annotate specific structures within the tissue. These annotations typically highlight important regions of interest, such as cell boundaries or areas indicative of pathological changes. The precision of the annotations suggests that the AI model is proficient in recognizing and delineating complex biological structures, which is crucial for tasks like histopathological analysis. The AI’s ability to accurately annotate these features can assist pathologists in diagnosing diseases, ensuring that subtle morphological changes are not overlooked. This combination of AI and histology exemplifies how technology can augment traditional medical practices, leading to more efficient and accurate diagnostics.
As you can see in This image is a microscopic view of a tissue sample stained with Hematoxylin and Eosin (H&E), highlighting cell nuclei in deep purple and cytoplasm in lighter purple. The red lines are AI-generated annotations, accurately outlining cell boundaries and key structures. The precision of these annotations showcases the AI’s capability in histopathological analysis, aiding in disease diagnosis by providing reliable and consistent identification of cellular components. This integration of AI enhances the efficiency and accuracy of medical diagnostics.
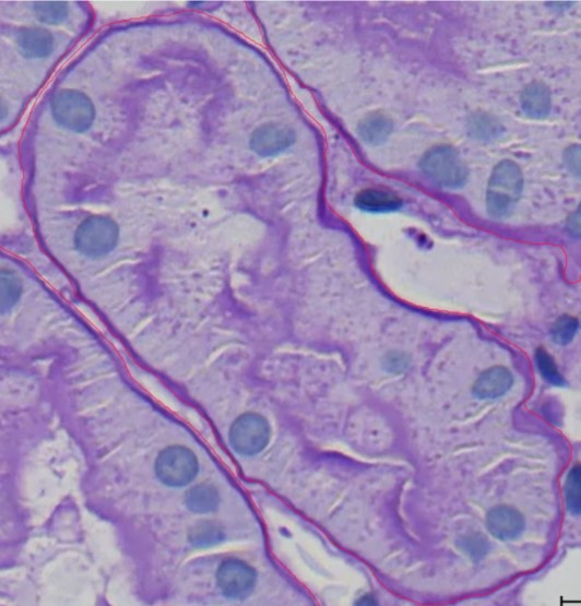
PAS_008.czi scene 3
This image is a magnified view of a tissue sample stained with Hematoxylin and Eosin (H&E), where cell nuclei appear in dark purple and the surrounding cytoplasm in lighter shades. The red lines overlaying the image represent AI-generated annotations, which precisely mark the boundaries of individual cells. These accurate delineations by the AI demonstrate its high-quality performance in identifying and outlining cellular structures within the tissue. Such detailed and consistent annotations are crucial in histopathological analysis, facilitating the detection of abnormalities and aiding in accurate disease diagnosis. The integration of AI technology in this context significantly enhances the efficiency and reliability of medical assessments.
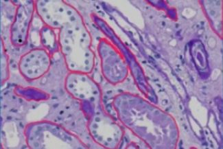
this image shows tubulus and PTC and how they connected
Key Medical Insights on Fabhalta® (Iptacopan) for Primary IgA Nephropathy Treatment
Key Medical Information:
Clinical Trial Results: Fabhalta demonstrated a significant reduction in proteinuria in the Phase III APPLAUSE-IgAN study, with a 44% reduction from baseline at 9 months compared to a 9% reduction in the placebo group. This translates to a clinically meaningful 38% reduction in proteinuria versus placebo.
Mechanism of Action: Fabhalta is an inhibitor of the alternative complement pathway, which is believed to play a critical role in the development and progression of IgAN. By targeting this pathway, Fabhalta helps to reduce the inflammation and subsequent kidney damage that leads to proteinuria.
Safety Profile: Fabhalta’s safety profile is consistent with previous studies, with the most common side effects including upper respiratory tract infections, lipid disorders, and abdominal pain. Serious infections caused by encapsulated bacteria are a significant risk, necessitating specific vaccinations before treatment and close monitoring during therapy.
Indication: Fabhalta is approved for adults with primary IgAN who have a urine protein-to-creatinine ratio (UPCR) of ≥1.5 g/g, indicating a higher risk of rapid disease progression.
Continued Approval: The continued approval of Fabhalta is contingent upon the verification of clinical benefit from ongoing studies, particularly concerning its impact on slowing kidney function decline, with key data expected by 2025.
Other Medical Considerations: Patients taking Fabhalta must undergo vaccinations against certain bacteria due to an increased risk of serious infections. Regular monitoring for cholesterol and triglyceride levels is also required.
Additional Research: Fabhalta is being studied for other rare kidney diseases, including C3 glomerulopathy, atypical hemolytic uremic syndrome, and lupus nephritis.




































